CREATING YOUR HEALTHIEST SMILE
Dr. Ashutosh Agarwal
MDS
Periodontist, Implantologist
Associate Professor,
Institute Of Dental Sciences, Bareilly
At Maa Dental Clinic we employ the best talent to ensure optimal results for every patient, the brand mission is to bring forward the importance of gum health, incorporating it into a lifestyle approach.
Maa Dental Clinic
Creating & Maintaining Healthy Smiles
Maa Dental Clinic is dedicated to providing exceptional dental care services to patients across India. With a team of highly skilled and experienced dentists, we offer a wide range of treatments including implants, root canal treatments, braces, and gum surgeries. Our mission is to promote oral health and ensure patient satisfaction.
512+
Successfully Implants
5+
Years of experience with proud
1120+
Surgeries
1520+
Patients and counting...
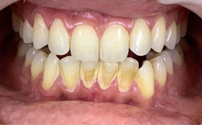
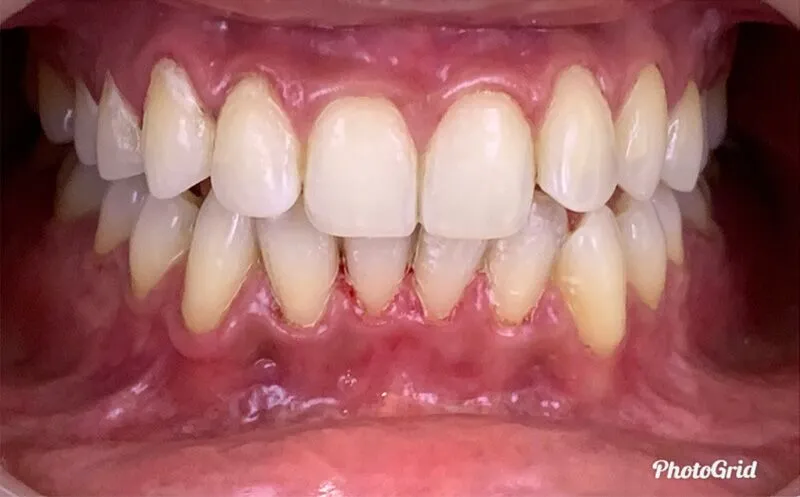
SMILE MAKEOVER
You Deserve First-Class Dental Care

SMILE MAKEOVER

GAP CLOSURE

ZOOM INSTANT TEETH WHITENING

METAL FREE CROWN BRIDGES
READY TO CREATE YOUR HEALTHIEST SMILE?
Our Treatments

Implants
Our skilled dentists provide top-quality dental implants that are durable and natural-looking. Restore your smile and regain confidence with our state-of-the-art implant solutions.

Root Canal Treatments
Experience pain-free root canal treatments at Maa Dental Clinic. Our experts use advanced techniques to alleviate discomfort and save your natural teeth.

Braces
Get straighter teeth and a perfectly aligned smile with our orthodontic braces. Our team of skilled orthodontists will design a personalized treatment plan for you.

Polish & Perfect
Instantly enhance your beautiful smile with Polish & Perfect. Tooth polishing is a dental procedure that leaves your tooth enamel glossy and smooth. At many dental offices, it’s a standard part of a routine cleaning appointment.

Crown
A dental crown is a popular temporary tooth restoration treatment. It covers severe decay, bad discoloration. There are many materials available for corrective dental procedures like metals, porcelain, resin, and ceramics.

Zirconia Crown
Zirconia is a newer material for dental restorative treatments. Zirconia crowns tend to cause less stress and damage on opposing pieces than their porcelain counterparts.
Sustainability
Committed To Keep People Healthy & Safe
Combining the best industry talent to ensure optimal results for every patient, the brand mission is to bring forward the importance of gum health, incorporating it into a lifestyle approach.
We Follow Best Practices
At Maa Dental Clinic our dedicated focus is to ensure every patient achieves optimum levels of gum health using the absolute best of modern dentistry techniques.
- 100% Ethical Treatment
- International Sterilization Standards
- Advanced Equipment & Technology
- Digital X-Ray Technology
Whar Our Clients Say
Testimonials
Dental patient
Sunita Agarwal
I got my dental treatment here recently. I was really happy to see that all the covid protocols were properly followed. CLINIC is very neat and clean. Also the treatment was painless and doctor treated me very nicely.
Dental Patient
Anuj Sonkar
I was always very scared of dental treatment. But Dr. Ashutosh Agarwal made the procedure very comfortable for me. First time in Bareilly I saw such a high standard of treatment. Also sanitization protocols were followed. Surely I will recommend the clinic.
Dental patient
Baljeet Singh
Best dental care I’ve ever received by far. From the moment of my first visit staff were very kind and accommodating and Dr. Ashutosh Agarwal couldn’t of been a better dentist. If you are in need of extensive mouth work or reconstruction work then this is the clinic you need to go to.
Dental Patient
Anju Singh
Dr. Ashutosh Agarwal was the best they gave me a new smile which I thought was impossible. At first I was scared but the process was mostly pain free. Thanks again for my smile make over It was all worth it. Now I can smile with confidence.
Book Appointment
Learn More From
Frequently Asked Questions
Oral hygiene is the practice of keeping your mouth clean and disease-free. It involves brushing and flossing your teeth as well as visiting your dentist regularly for dental X-rays, exams and cleanings.
Oral hygiene is preventative care. This means you can stop oral health problems — such as cavities, gum disease, bad breath (halitosis) and other issues — before they start by taking good care of your teeth and gums.
Oral health is also linked to whole-body health. For example, if an infection is present in your mouth, your bloodstream can carry the bacteria to other areas of your body, leading to other health concerns like heart disease and stroke. Keeping your teeth and gums healthy is an important part of long-lasting overall health.
There are several warning signs that could indicate oral health problems. The most common signs of poor oral hygiene include:
- Bleeding gums.
- Tooth decay.
- Chronic bad breath.
- Loose teeth.
- Gum recession.
- Mouth sores that don’t go away.
- Toothache.
- Swelling of the jaw.
- Gingivostomatitis, an infection of the mouth caused by certain bacteria or viruses.
Excellent oral hygiene protects your teeth and gums and keeps your smile beautiful. Here are some general oral hygiene instructions to keep your smile healthy:
Brush your teeth at least twice a day. Use fluoride toothpaste and a soft-bristled toothbrush. (Medium or hard bristles can damage your gums and tooth enamel.) When you brush, place your toothbrush at a 45-degree angle toward your gums. This helps sweep away plaque and bacteria at the gum line. Be sure to brush all teeth surfaces, including the backs and sides.
Floss once daily. You can’t reach the spaces between your teeth with brushing alone. To clean these areas, you need dental floss. Take a piece of floss that’s about 18 inches long. Wrap each end around your middle fingers. Using your thumbs and forefingers, guide the floss between two teeth. Wrap the floss snugly around one tooth in a C shape and clean it using about 10 up and down strokes. Next, wrap the floss around the other tooth and repeat. Continue this process on all of your teeth. If you have dexterity issues, you can also use interproximal brushes and dental picks to clean between your teeth. (A note about water flossers: While water flossers are excellent for removing large pieces of food and debris, they can’t remove the biofilm from your teeth surfaces. So, if you use a water flosser, be sure to use traditional dental floss as well.)
Brush your tongue. Your tongue holds bacteria like a sponge. Whenever you brush your teeth, don’t forget to brush your tongue. You can use your toothbrush for this purpose. Or, you can purchase a tongue scraper in the oral health aisle.
Use an antibacterial mouthwash every day. Antibacterial mouthwash helps keep harmful oral bacteria at bay. In addition to washing away food and debris, it also reduces plaque buildup. Be sure to choose an alcohol-free formula to prevent dry mouth.
Visit your dentist regularly. Routine dental exams and cleanings are essential for good oral health. Many people do well with six-month visits. But, if you’re prone to cavities, gum disease or other oral health problems, you may need more frequent appointments.
Avoid smoking and other tobacco products. Smoking is a leading cause of gum disease and oral cancer. It’s best to avoid these products altogether. If you currently smoke and would like to quit, ask your healthcare provider about treatment options that can help.
Remember, the best oral hygiene routine is one that you can practice consistently. Talk to your dentist about a personalized oral health regimen to meet your needs.
While your dentist may be able to repair teeth damaged by decay or gum disease, it’s always preferable to stop problems before they start. This is where good oral hygiene comes in. Practicing good oral hygiene offers a wide range of benefits, including:
- Healthier teeth and gums.
- A beautiful smile.
- Fresher breath.
- A reduced need for dental work such as fillings, crowns, bridges, implants or dentures.
- A lowered risk of heart disease, stroke, diabetes and other health concerns.
- A reduced risk of oral cancer.
Additionally, preventative dental care is more affordable than restorative or emergency dental care. So, good oral hygiene can save you time, worry and money in the long run.
